|
Ваша оценка: 0 / 5
|
Ортостом. Стоматология.
|
Стоматология Ортостом приветствует Вас!
Основное направление нашей деятельности – эстетическая ортодонтия без ограничений по возрасту и сложности.
Более 17 лет работаем для Вас в этой сфере, восстанавливая эстетику улыбки и возвращая уверенность в себе.

Стоматологическая клиника оснащена первоклассным оборудованием.
Используем только проверенные люксовые материалы!
Ведущий специалист клиники – Алибеков Эльдар Курбанович,
обладатель более 40 сертификатов, грамот.
Врач проходил зарубежные курсы повышения квалификации, обучался у ведущих мировых специалистов.
Теперь мировой опыт ортодонтии доступен и для наших клиентов!
Стоматология ORTOSTOM предлагает такие услуги для Вас:
• Терапия, композитные или керамические виниры с обязательным подбором оттенка.
• Реставрация зубов, выполняем работы любой сложности, в том числе восстановление после травм.

• Хирургия, использование армирующей ленты
Риббонд для шинирования зубов.
• Импланты, только передовые разработки.
Мы знаем, что наши клиенты достойны лучшего!
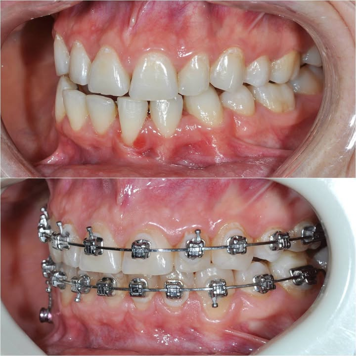
• Брекеты системы Даймонд (Даймон).
Это миниатюрные конструкции вестибулярного
типа (безлигатурная система), которые практически незаметны.
Обеспечивается надежное сцепление с зубной поверхностью
без повреждения эмали.
Ортодонтия в Махачкале – это не только восстановление
или выравнивание зубного ряда.
Для Вас мы предлагаем эстетические операции
по изменению контура или размеров губ,
устранению асимметрии губ, изменению формы подбородка.

К каждому клиенту гарантируем индивидуальный подход!
Специалисты клиники ORTOSTOM используют самые передовые и эффективные методы решения проблем зубов любой сложности,
при этом нет ограничения в возрасте.
Приходите, и Вы убедитесь, что результативное ортодонтическое лечение может быть комфортным!
Основное направление нашей деятельности – эстетическая ортодонтия без ограничений по возрасту и сложности.
Более 17 лет работаем для Вас в этой сфере, восстанавливая эстетику улыбки и возвращая уверенность в себе.

Стоматологическая клиника оснащена первоклассным оборудованием.
Используем только проверенные люксовые материалы!
Ведущий специалист клиники – Алибеков Эльдар Курбанович,
обладатель более 40 сертификатов, грамот.
Врач проходил зарубежные курсы повышения квалификации, обучался у ведущих мировых специалистов.
Теперь мировой опыт ортодонтии доступен и для наших клиентов!
Стоматология ORTOSTOM предлагает такие услуги для Вас:
• Терапия, композитные или керамические виниры с обязательным подбором оттенка.
• Реставрация зубов, выполняем работы любой сложности, в том числе восстановление после травм.

• Хирургия, использование армирующей ленты
Риббонд для шинирования зубов.
• Импланты, только передовые разработки.
Мы знаем, что наши клиенты достойны лучшего!
• Брекеты системы Даймонд (Даймон).
Это миниатюрные конструкции вестибулярного
типа (безлигатурная система), которые практически незаметны.
Обеспечивается надежное сцепление с зубной поверхностью
без повреждения эмали.
Ортодонтия в Махачкале – это не только восстановление
или выравнивание зубного ряда.
Для Вас мы предлагаем эстетические операции
по изменению контура или размеров губ,
устранению асимметрии губ, изменению формы подбородка.

К каждому клиенту гарантируем индивидуальный подход!
Специалисты клиники ORTOSTOM используют самые передовые и эффективные методы решения проблем зубов любой сложности,
при этом нет ограничения в возрасте.
Приходите, и Вы убедитесь, что результативное ортодонтическое лечение может быть комфортным!

